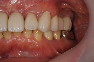
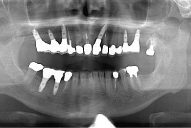
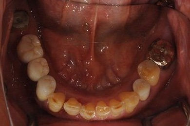
インプラントの症例写真 IMPLANT
骨再生インプラント治療
| カテゴリー | 【インプラント治療】【セラミック治療】 | ||||||||||||||||||||||||||||||||
|---|---|---|---|---|---|---|---|---|---|---|---|---|---|---|---|---|---|---|---|---|---|---|---|---|---|---|---|---|---|---|---|---|---|
| 性別/年齢 | 男性 / 58歳 | ||||||||||||||||||||||||||||||||
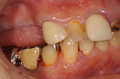
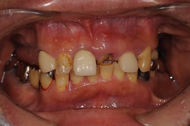
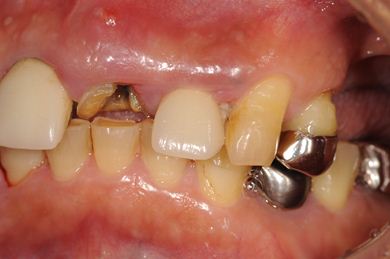
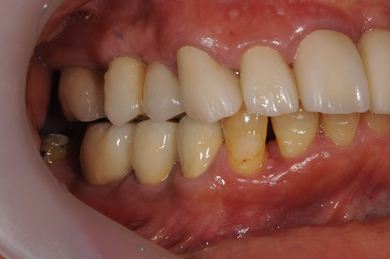
| 主訴 | 上前歯欠損部のインプラント治療を希望。 | ||||||||||||||||||||||||||||||||
| 治療方針 | 右上奥はソケットリフトにて上顎洞拳上してインプラント埋入を可能にし、上顎前歯部は骨再生法によりインプラント治療を行う。その他、補綴により口腔内全体の機能的審美的回復を行う。 | ||||||||||||||||||||||||||||||||
| 治療内容 | インプラント8本(GBR、ソケットリフト)、ハイブリッドセラミッククラウン17本(セラミック用土台5本) | ||||||||||||||||||||||||||||||||
| 治療部位 |
|
||||||||||||||||||||||||||||||||
| 総治療費 | 4,077,076円 | ||||||||||||||||||||||||||||||||
| 治療期間 | 1年9ヶ月 |
副作用・リスク
インプラント治療の副作用・リスクについて
インプラント埋め込み施術は外科治療のため、腫れる可能性があります。細菌感染すると施術のやり直しになりますが、当院では洗浄・滅菌を徹底して感染リスクを抑えます。また、インプラント周囲炎にならないために、通常の歯と同じように丁寧なブラッシングや定期メンテナンスが重要となります。












