KCC
吉祥寺セントラルクリニック
0120-203-640
KCC
三鷹公園通り歯科・小児歯科
0120-970-967

インプラントの症例写真 IMPLANT

抜歯即日スピードインプラント治療

カテゴリー 【インプラント治療】
性別/年齢 女性 / 37歳
主訴 歯の差し歯が少しぐらつく。歯ぐきが違和感を感じる。
治療方針 抜歯と同時にインプラントを埋入し、治療期間を短縮する。
治療内容 インプラント1本(抜歯即日スピードインプラント)、メタルボンドセラミック1本
治療部位
1
総治療費 434,805円
治療期間 8ヶ月

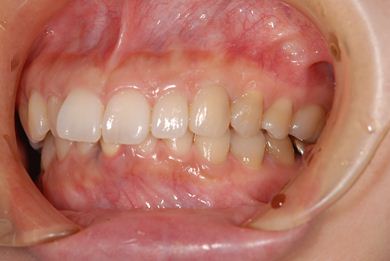
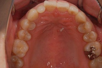
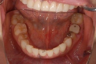
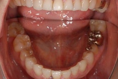
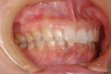
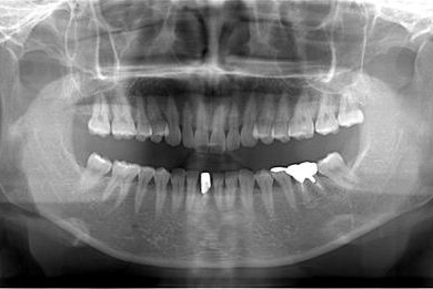
治療前

  • 治療前
  • 治療前
  • 治療前
  • 治療前
  • 治療前
  • 治療前

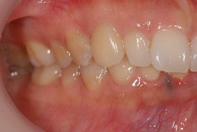
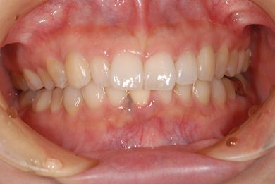
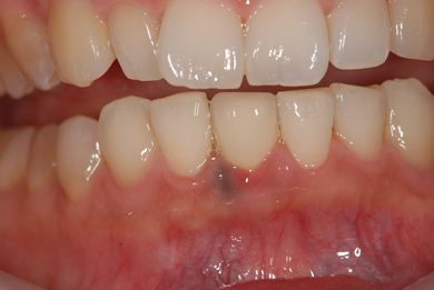
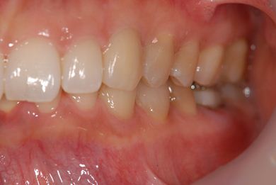
治療後

  • 治療後
  • 治療後
  • 治療後
  • 治療後
  • 治療後

副作用・リスク

インプラント治療の副作用・リスクについて

インプラント埋め込み施術は外科治療のため、腫れる可能性があります。細菌感染すると施術のやり直しになりますが、当院では洗浄・滅菌を徹底して感染リスクを抑えます。また、インプラント周囲炎にならないために、通常の歯と同じように丁寧なブラッシングや定期メンテナンスが重要となります。