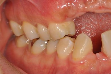
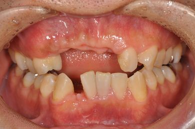
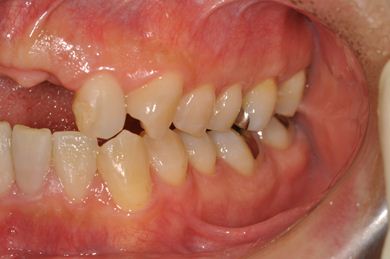
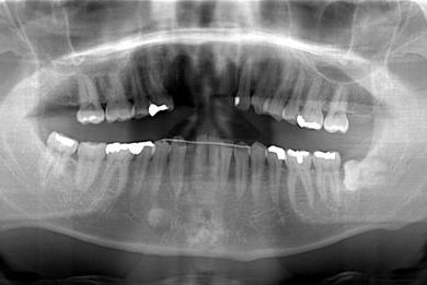
インプラントの症例写真 IMPLANT
骨再生インプラント治療
| カテゴリー | 【インプラント治療】 | ||||||||||||||||||||||||||||||||
|---|---|---|---|---|---|---|---|---|---|---|---|---|---|---|---|---|---|---|---|---|---|---|---|---|---|---|---|---|---|---|---|---|---|
| 性別/年齢 | 男性 / 36歳 | ||||||||||||||||||||||||||||||||
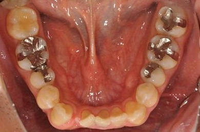
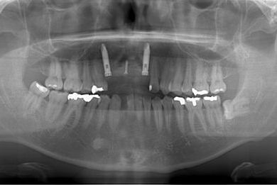
| 主訴 | 事故で欠損した上部の歯4本、下1本のインプラント治療相談。 | ||||||||||||||||||||||||||||||||
| 治療方針 | |||||||||||||||||||||||||||||||||
| 治療内容 | インプラント2本(GBR、自家骨移植)、メタルボンドセラミック4本、結合組織移植術 | ||||||||||||||||||||||||||||||||
| 治療部位 |
|
||||||||||||||||||||||||||||||||
| 総治療費 | 1,766,520円 | ||||||||||||||||||||||||||||||||
| 治療期間 | 1年8ヶ月 |
副作用・リスク
インプラント治療の副作用・リスクについて
インプラント埋め込み施術は外科治療のため、腫れる可能性があります。細菌感染すると施術のやり直しになりますが、当院では洗浄・滅菌を徹底して感染リスクを抑えます。また、インプラント周囲炎にならないために、通常の歯と同じように丁寧なブラッシングや定期メンテナンスが重要となります。












