KCC
吉祥寺セントラルクリニック
0120-203-640
KCC
三鷹公園通り歯科・小児歯科
0120-970-967

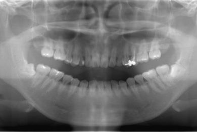
インプラントの症例写真 IMPLANT

カテゴリー 【インプラント治療】
性別/年齢 女性 / 27歳
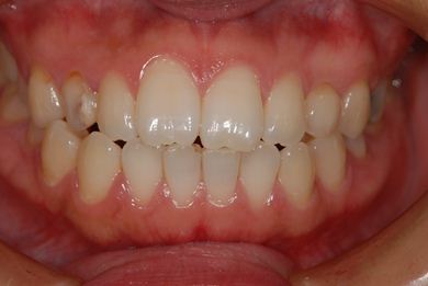
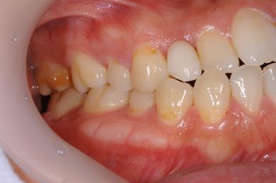
主訴 上の左から3番目の歯に穴が出来た。
治療方針
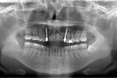
治療内容 インプラント2本、メタルボンドセラミッククラウン2本
治療部位
3 3
総治療費 720,510円
治療期間 7ヶ月

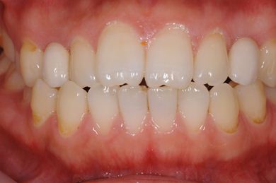
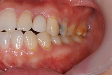
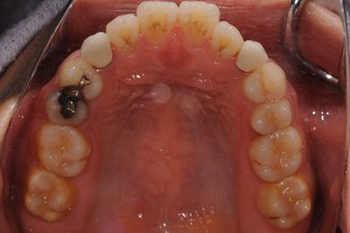
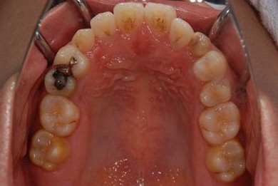
治療前

  • 治療前
  • 治療前
  • 治療前
  • 治療前
  • 治療前
  • 治療前

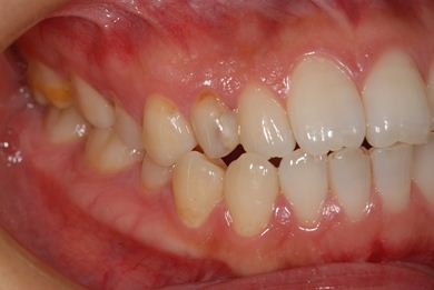
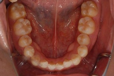
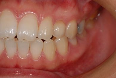
治療後

  • 治療後
  • 治療後
  • 治療後
  • 治療後
  • 治療後
  • 治療後

副作用・リスク

インプラント治療の副作用・リスクについて

インプラント埋め込み施術は外科治療のため、腫れる可能性があります。細菌感染すると施術のやり直しになりますが、当院では洗浄・滅菌を徹底して感染リスクを抑えます。また、インプラント周囲炎にならないために、通常の歯と同じように丁寧なブラッシングや定期メンテナンスが重要となります。