KCC
吉祥寺セントラルクリニック
0120-203-640
KCC
三鷹公園通り歯科・小児歯科
0120-970-967

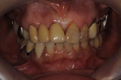
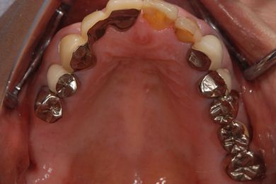
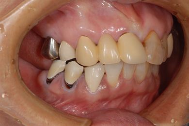
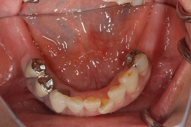
インプラントの症例写真 IMPLANT

骨再生インプラント治療

カテゴリー 【インプラント治療】
性別/年齢 女性 / 60歳
主訴 セカンドオピニオンを希望(左上奥歯、右上親不知)
治療方針
治療内容 インプラント5本(ソケットリフト)、ハイブリッドセラミッククラウン5本
治療部位
6
7 6 6 7
総治療費 1,213,905円
治療期間 7ヶ月

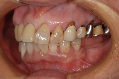
治療前

  • 治療前
  • 治療前
  • 治療前
  • 治療前
  • 治療前
  • 治療前

治療後

  • 治療後
  • 治療後
  • 治療後
  • 治療後
  • 治療後
  • 治療後

副作用・リスク

インプラント治療の副作用・リスクについて

インプラント埋め込み施術は外科治療のため、腫れる可能性があります。細菌感染すると施術のやり直しになりますが、当院では洗浄・滅菌を徹底して感染リスクを抑えます。また、インプラント周囲炎にならないために、通常の歯と同じように丁寧なブラッシングや定期メンテナンスが重要となります。