KCC
吉祥寺セントラルクリニック
0120-203-640
KCC
三鷹公園通り歯科・小児歯科
0120-970-967

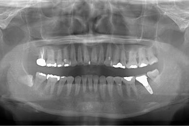
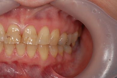
インプラントの症例写真 IMPLANT

インプラント治療

カテゴリー 【インプラント治療】
性別/年齢 女性 / 54歳
主訴 抜歯したところのインプラント治療を希望。
治療方針
治療内容 インプラント1本、メタルボンドセラミック1本
治療部位
7
総治療費 252,000円
治療期間 4ヶ月

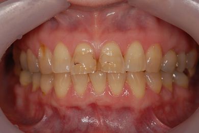
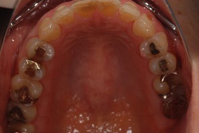
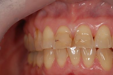
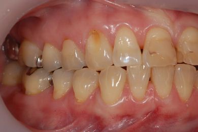
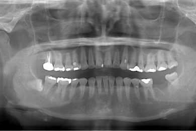
治療前

  • 治療前
  • 治療前
  • 治療前
  • 治療前
  • 治療前
  • 治療前

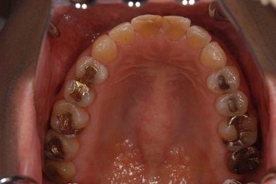
治療後

  • 治療後
  • 治療後
  • 治療後
  • 治療後
  • 治療後
  • 治療後

副作用・リスク

インプラント治療の副作用・リスクについて

インプラント埋め込み施術は外科治療のため、腫れる可能性があります。細菌感染すると施術のやり直しになりますが、当院では洗浄・滅菌を徹底して感染リスクを抑えます。また、インプラント周囲炎にならないために、通常の歯と同じように丁寧なブラッシングや定期メンテナンスが重要となります。