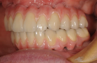
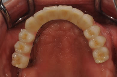
インプラントの症例写真 IMPLANT
骨再生スピードインプラント治療+AGC連結セラミック治療
| カテゴリー | 【インプラント治療】 | ||||||||||||||||||||||||||||||||
|---|---|---|---|---|---|---|---|---|---|---|---|---|---|---|---|---|---|---|---|---|---|---|---|---|---|---|---|---|---|---|---|---|---|
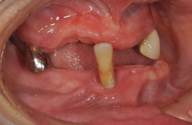
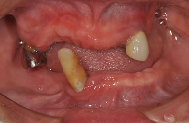
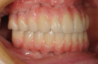
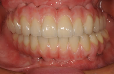
| 性別/年齢 | 女性 / 57歳 | ||||||||||||||||||||||||||||||||
| 主訴 | 全体的に歯が無いので相談したい。 | ||||||||||||||||||||||||||||||||
| 治療方針 | 骨再生療法にて骨量を回復するとともに軟組織も移植し、機能的回復だけでなく審美的回復も行う。 | ||||||||||||||||||||||||||||||||
| 治療内容 | インプラント12本(サイナスリフト+GBR+抜歯即日スピードインプラント+遊離歯肉移植)、AGCハイブリッドセラミック連結ブリッジ2装置(上顎・下顎)、テンポラリーインプラント2本 | ||||||||||||||||||||||||||||||||
| 治療部位 |
|
||||||||||||||||||||||||||||||||
| 総治療費 | 6,019,650円 | ||||||||||||||||||||||||||||||||
| 治療期間 | 1年0ヶ月 |
副作用・リスク
インプラント治療の副作用・リスクについて
インプラント埋め込み施術は外科治療のため、腫れる可能性があります。細菌感染すると施術のやり直しになりますが、当院では洗浄・滅菌を徹底して感染リスクを抑えます。また、インプラント周囲炎にならないために、通常の歯と同じように丁寧なブラッシングや定期メンテナンスが重要となります。












