インプラントの症例写真 IMPLANT
骨再生インプラント治療
| カテゴリー | 【インプラント治療】 | ||||||||||||||||||||||||||||||||
|---|---|---|---|---|---|---|---|---|---|---|---|---|---|---|---|---|---|---|---|---|---|---|---|---|---|---|---|---|---|---|---|---|---|
| 性別/年齢 | 男性 / 44歳 | ||||||||||||||||||||||||||||||||
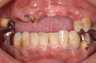
| 主訴 | 前歯がぐらついている。 | ||||||||||||||||||||||||||||||||
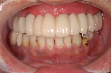
| 治療方針 | 骨再生療法にて上顎の骨を増やしインプラント治療にて審美的・機能的回復を行う。 | ||||||||||||||||||||||||||||||||
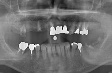
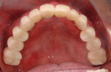
| 治療内容 | インプラント7本(ソケットリフト)、ハイブリッドセラミック12本 | ||||||||||||||||||||||||||||||||
| 治療部位 |
|
||||||||||||||||||||||||||||||||
| 総治療費 | 3,207,924円 | ||||||||||||||||||||||||||||||||
| 治療期間 | 1年6ヶ月 |
副作用・リスク
インプラント治療の副作用・リスクについて
インプラント埋め込み施術は外科治療のため、腫れる可能性があります。細菌感染すると施術のやり直しになりますが、当院では洗浄・滅菌を徹底して感染リスクを抑えます。また、インプラント周囲炎にならないために、通常の歯と同じように丁寧なブラッシングや定期メンテナンスが重要となります。






