インプラントの症例写真 IMPLANT
骨再生スピードインプラント治療+AGC連結セラミック治療+ISUS連結セラミック治療
| カテゴリー | 【インプラント治療】 | ||||||||||||||||||||||||||||||||
|---|---|---|---|---|---|---|---|---|---|---|---|---|---|---|---|---|---|---|---|---|---|---|---|---|---|---|---|---|---|---|---|---|---|
| 性別/年齢 | 男性 / 58歳 | ||||||||||||||||||||||||||||||||
| 主訴 | インプラントを考えており、相談をしたく来院した。 | ||||||||||||||||||||||||||||||||
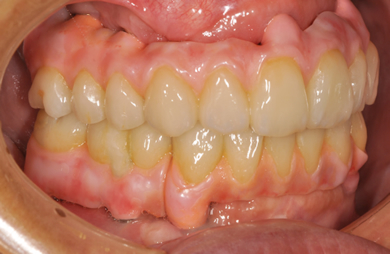
| 治療方針 | 骨再生療法を行いインプラント治療を可能にし、審美的・機能的回復を行う為に上顎にはAGCオールセラミック連結ブリッジ、下顎にはISUSオールセラミック連結ブリッジを使用し欠損補綴を行う。 | ||||||||||||||||||||||||||||||||
| 治療内容 | インプラント13本(ソケットリフト+抜歯即日スピードインプラント)、AGCオールセラミック連結ブリッジ1装置(上顎)、ISUSオールセラミック連結ブリッジ1装置(下顎)、テンポラリーインプラント9本、歯肉歯槽骨整形手術 | ||||||||||||||||||||||||||||||||
| 治療部位 |
|
||||||||||||||||||||||||||||||||
| 総治療費 | 7,404,838円 | ||||||||||||||||||||||||||||||||
| 治療期間 | 1年8ヶ月 |
副作用・リスク
インプラント治療の副作用・リスクについて
インプラント埋め込み施術は外科治療のため、腫れる可能性があります。細菌感染すると施術のやり直しになりますが、当院では洗浄・滅菌を徹底して感染リスクを抑えます。また、インプラント周囲炎にならないために、通常の歯と同じように丁寧なブラッシングや定期メンテナンスが重要となります。












