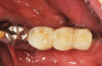
インプラントの症例写真 IMPLANT
スピードインプラント治療+セラミック治療
| カテゴリー | 【インプラント治療】 | ||||||||||||||||||||||||||||||||
|---|---|---|---|---|---|---|---|---|---|---|---|---|---|---|---|---|---|---|---|---|---|---|---|---|---|---|---|---|---|---|---|---|---|
| 性別/年齢 | 男性 / 42歳 | ||||||||||||||||||||||||||||||||
| 主訴 | 歯茎の腫れと前歯が欠けているのが気になる。 | ||||||||||||||||||||||||||||||||
| 治療方針 | 欠損部位である右下6番とともに、隣接部位の破壊された歯周組織を回復。 | ||||||||||||||||||||||||||||||||
| 治療内容 | インプラント3本(抜歯即日スピードインプラント)、ハイブリッドセラミック3本 | ||||||||||||||||||||||||||||||||
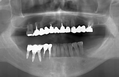
| 治療部位 |
|
||||||||||||||||||||||||||||||||
| 総治療費 | 981.300円 | ||||||||||||||||||||||||||||||||
| 治療期間 | 8ヶ月 |
副作用・リスク
インプラント治療の副作用・リスクについて
インプラント埋め込み施術は外科治療のため、腫れる可能性があります。細菌感染すると施術のやり直しになりますが、当院では洗浄・滅菌を徹底して感染リスクを抑えます。また、インプラント周囲炎にならないために、通常の歯と同じように丁寧なブラッシングや定期メンテナンスが重要となります。




