ホーム
湖秋会の特徴
院長紹介
医院案内
吉祥寺セントラルクリニック
三鷹公園通り歯科・矯正歯科
治療案内
一般治療(保険治療)
小児歯科
インプラントによる治療
成人矯正
インビザライン矯正
小児矯正
審美・セラミックによる治療
ホワイトニング
入れ歯
予防ケア
歯周病治療
顎関節・噛み合わせ
睡眠時無呼吸症:マウスピースによる治療
スポーツマウスピース
料金表
インプラントによる治療の料金
矯正治療の料金
セラミックによる治療の料金表
ホワイトニングの料金表
歯周病治療の料金表
入れ歯治療の料金表
予防治療の料金表
顎関節・噛み合わせ治療の料金表
お支払い方法
デンタルローン
医療費控除
採用情報
ご予約
ホーム
湖秋会の特徴
院長紹介
医院案内
吉祥寺セントラルクリニック
三鷹公園通り歯科・矯正歯科
治療案内
一般治療(保険治療)
小児歯科
インプラントによる治療
成人矯正
インビザライン矯正
小児矯正
審美・セラミックによる治療
ホワイトニング
入れ歯
予防ケア
歯周病治療
顎関節・噛み合わせ
睡眠時無呼吸症:マウスピースによる治療
スポーツマウスピース
料金表
インプラントによる治療の料金表
矯正治療の料金
セラミックによる治療の料金表
ホワイトニングの料金表
歯周病治療の料金表
入れ歯治療の料金表
予防治療の料金表
顎関節・噛み合わせ治療の料金表
お支払い方法
デンタルローン
医療費控除
採用情報
ご予約
ホーム
湖秋会の特徴
院長紹介
医院案内
吉祥寺セントラルクリニック
三鷹公園通り歯科・矯正歯科
治療案内
一般治療(保険治療)
小児歯科
インプラントによる治療
成人矯正
インビザライン矯正
小児矯正
審美・セラミックによる治療
ホワイトニング
入れ歯
予防ケア
歯周病治療
顎関節・噛み合わせ
睡眠時無呼吸症:マウスピースによる治療
スポーツマウスピース
料金表
インプラントによる治療の料金
矯正治療の料金
セラミックによる治療の料金表
ホワイトニングの料金表
歯周病治療の料金表
入れ歯治療の料金表
予防治療の料金表
顎関節・噛み合わせ治療の料金表
お支払い方法
デンタルローン
医療費控除
採用情報
ご予約
吉祥寺セントラルクリニック
0120-203-640
三鷹公園通り歯科・小児歯科
0120-970-967
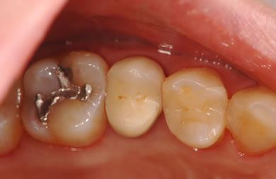
の症例写真
ホーム
の症例写真
ハイブリッドセラミッククラウン+ハイブリッドセラミックインレー
ハイブリッドセラミッククラウン+ハイブリッドセラミックインレー
カテゴリー
性別/年齢
女性 / 25歳
主訴
歯に痛みを感じ、腫れ始めた。
治療方針
神経の治療をしっかりと行い、土台で補強した後に審美的回復をはかる。
治療内容
ハイブリッドセラミック1本(ハイブリッドセラミック用の土台1本)、ハイブリッドセラミックインレー1本
治療部位
4
5
総治療費
130,450円
治療期間
2ヶ月
治療前
治療後
副作用・リスク