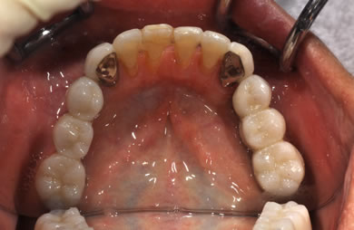
インプラントの症例写真 IMPLANT
骨再生スピードインプラント治療+AGC連結セラミック治療
| カテゴリー | 【インプラント治療】 | ||||||||||||||||||||||||||||||||
|---|---|---|---|---|---|---|---|---|---|---|---|---|---|---|---|---|---|---|---|---|---|---|---|---|---|---|---|---|---|---|---|---|---|
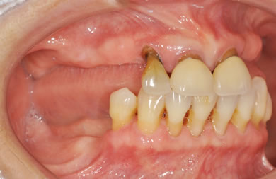
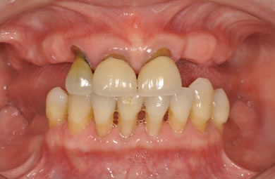
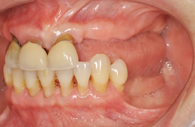
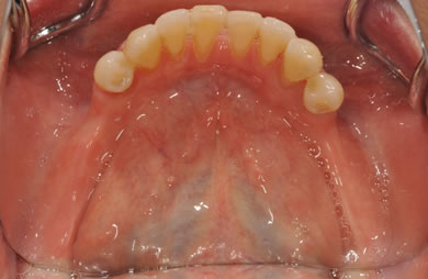
| 性別/年齢 | 女性 / 66歳 | ||||||||||||||||||||||||||||||||
| 主訴 | 他院で骨の量が足りずインプラントは難しいと言われ、入れ歯を使用していたが、やはりインプラント治療をうけたい。 | ||||||||||||||||||||||||||||||||
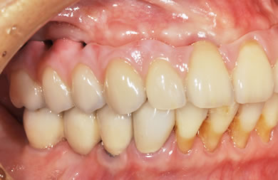
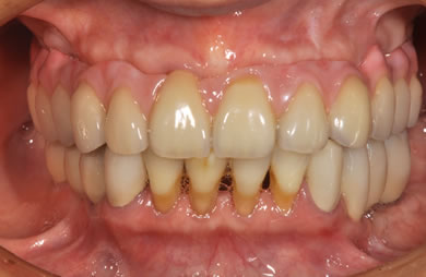
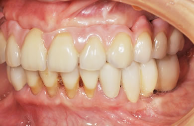
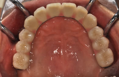
| 治療方針 | 上顎の歯周組織がかなり侵襲されているため、ソケットリフト法にて骨を回復させ、機能的回復だけでなく審美的回復も行うためにAGCハイブリッド連結ブリッジにて補綴処置を行う。 | ||||||||||||||||||||||||||||||||
| 治療内容 | インプラント12本(ソケットリフト+抜歯即日スピードインプラント)、ハイブリッドセラミック8本、AGCハイブリッドセラミック連結ブリッジ1装置、テンポラリーインプラント2本、遊離歯肉移植術 | ||||||||||||||||||||||||||||||||
| 治療部位 |
|
||||||||||||||||||||||||||||||||
| 総治療費 | 5,520,000円 | ||||||||||||||||||||||||||||||||
| 治療期間 | 12ヶ月 |
副作用・リスク
インプラント治療の副作用・リスクについて
インプラント埋め込み施術は外科治療のため、腫れる可能性があります。細菌感染すると施術のやり直しになりますが、当院では洗浄・滅菌を徹底して感染リスクを抑えます。また、インプラント周囲炎にならないために、通常の歯と同じように丁寧なブラッシングや定期メンテナンスが重要となります。












