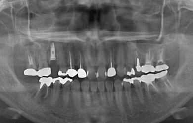
の症例写真
抜歯即日スピードインプラント+ソケットリフト
| カテゴリー | |||||||||||||||||||||||||||||||||
|---|---|---|---|---|---|---|---|---|---|---|---|---|---|---|---|---|---|---|---|---|---|---|---|---|---|---|---|---|---|---|---|---|---|
| 性別/年齢 | 女性 / 37歳 | ||||||||||||||||||||||||||||||||
| 主訴 | 右上奥歯を現在、他の歯科医院にて治療中。歯が割れているとのことで抜歯すると言われたので、何か良い方法がないか相談したい。 | ||||||||||||||||||||||||||||||||
| 治療方針 | 初期固定に必要な骨の量がほとんどないため、ソケットリフト法を併用した抜歯即日スピードインプラントを行ってみるが、初期固定がとれなかった場合には通常の段階的な方法にてまず抜歯を行い、その後4カ月ほど待ち、骨が出来てからインプラント手術を行う。 | ||||||||||||||||||||||||||||||||
| 治療内容 | インプラント1本(抜歯即日スピードインプラント+ソケットリフト)、ハイブリッドセラミック1本、メタルボンドセラミック2本、ハイブリッドセラミックインレー1本 | ||||||||||||||||||||||||||||||||
| 治療部位 |
|
||||||||||||||||||||||||||||||||
| 総治療費 | 725,100円 | ||||||||||||||||||||||||||||||||
| 治療期間 | 7ヶ月 |




