インプラントの症例写真 IMPLANT
骨再生インプラント治療+アタッチメント義歯
| カテゴリー | 【インプラント治療】 | ||||||||||||||||||||||||||||||||
|---|---|---|---|---|---|---|---|---|---|---|---|---|---|---|---|---|---|---|---|---|---|---|---|---|---|---|---|---|---|---|---|---|---|
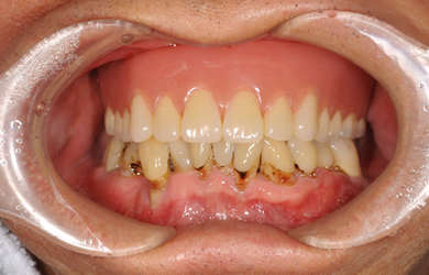
| 性別/年齢 | 男性 / 70歳 | ||||||||||||||||||||||||||||||||
| 主訴 | 上の犬歯1本が抜けた為、入れ歯が不安定になった。 | ||||||||||||||||||||||||||||||||
| 治療方針 | ソケットリフト法により上顎洞底部を挙上することにより、骨の無い部分に骨をつくってあげ、インプラントを支えとする安定性の高い義歯を作製する。 | ||||||||||||||||||||||||||||||||
| 治療内容 | インプラント3本(ソケットリフト)、ハイブリッドセラミック1本、 金属床義歯1装置、アタッチメント2装置 | ||||||||||||||||||||||||||||||||
| 治療部位 |
|
||||||||||||||||||||||||||||||||
| 総治療費 | 1,231,500円 | ||||||||||||||||||||||||||||||||
| 治療期間 | 6ヶ月 |
副作用・リスク
インプラント治療の副作用・リスクについて
インプラント埋め込み施術は外科治療のため、腫れる可能性があります。細菌感染すると施術のやり直しになりますが、当院では洗浄・滅菌を徹底して感染リスクを抑えます。また、インプラント周囲炎にならないために、通常の歯と同じように丁寧なブラッシングや定期メンテナンスが重要となります。




