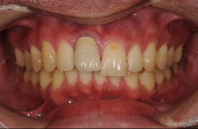
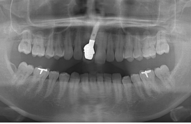
インプラントの症例写真 IMPLANT
スピードインプラント治療
| カテゴリー | 【インプラント治療】 | ||||||||||||||||||||||||||||||||
|---|---|---|---|---|---|---|---|---|---|---|---|---|---|---|---|---|---|---|---|---|---|---|---|---|---|---|---|---|---|---|---|---|---|
| 性別/年齢 | 男性 / 28歳 | ||||||||||||||||||||||||||||||||
| 主訴 | 上の前歯の部分の差し歯が入っているあたりが1カ月前に腫れ、他の歯科医院を受診したところ、差し歯を根から抜歯しなければならないと言われたので、インプラント治療を検討するため来院しました。 | ||||||||||||||||||||||||||||||||
| 治療方針 | 抜歯と同時にインプラントを埋入することにより、治療期間を大幅に短縮させる。 | ||||||||||||||||||||||||||||||||
| 治療内容 | インプラント1本(抜歯即日スピードインプラント)、メタルボンドセラミック1本 | ||||||||||||||||||||||||||||||||
| 治療部位 |
|
||||||||||||||||||||||||||||||||
| 総治療費 | 451,500円 | ||||||||||||||||||||||||||||||||
| 治療期間 | 5ヶ月 |
副作用・リスク
インプラント治療の副作用・リスクについて
インプラント埋め込み施術は外科治療のため、腫れる可能性があります。細菌感染すると施術のやり直しになりますが、当院では洗浄・滅菌を徹底して感染リスクを抑えます。また、インプラント周囲炎にならないために、通常の歯と同じように丁寧なブラッシングや定期メンテナンスが重要となります。




