吉祥寺セントラルクリニック

KCC
吉祥寺セントラルクリニック
0120-203-640
KCC
三鷹公園通り歯科・小児歯科
0120-970-967

拡大床 KAKUDAISHO

装置で顎を広げて歯を並べる矯正治療

成長期のお子様の場合は、プレートやワイヤーでできた拡大装置を用いて上顎や下顎を広げ、抜歯をせずに歯を並べるためのスペースを確保して行う矯正治療が可能です。
不正咬合(悪い歯並び)は顎の骨と歯の大きさのバランスの不調和により起こります。すなわち、顎の骨が小さいために歯が並びきらず、歯並びがバラバラとなってしまうのです。
通常の矯正では歯を綺麗に並べるためのスペースを確保するために抜歯などの処置を必要とするのに比べ、拡大装置を用いる矯正では顎の骨自体を横方面に広げることにより、歯を抜かずにスペース不足を解消します。顎を拡大する矯正の最大の利点は、歯を抜かずに矯正治療を行えるということです。拡大装置で顎をゆっくりと押し広げていく治療ですので、発育途中のお子様に適しています。

拡大装置の適応症例

顎を広げる矯正治療は、叢生(乱ぐい歯、八重歯/デコボコの歯並びのこと)の治療に適しています。

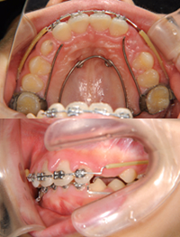
取り外しが可能な拡大装置(拡大床)

取り外しが可能な拡大装置(拡大床)
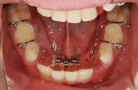
拡大床 上顎
取り外しが可能な拡大装置(拡大床)
拡大床 下顎

顎を拡大する矯正治療法で最も一般的なものは、取りはずしができるプレート(拡大床:かくだいしょう)を用いて上顎や下顎を広げ、抜歯をせずに歯を並べるためのスペースを確保して行う床矯正(しょうきょうせい)です。拡大床の調整は、患者様ご自身やご家族の方に行っていただきます。

拡大床を使用する矯正(床矯正)のしくみ

拡大ネジ

床矯正では、主に顎を横方向に拡大します。真ん中に取り付けられたネジ(拡大ネジ)を調整して装置(拡大床)の幅をゆっくりと広げ、顎の骨を押し広げていきます。

床矯正の利点と欠点

拡大床を使用する矯正は抜歯をせずに出来るという利点がある反面、1日に12時間以上の使用が必要なため、食事の際などに外した装置を付け忘れてしまうと治療が長引いてしまうことがあるという欠点も持ち合わせています。矯正担当の歯科医師とよく相談された上で、お子様にとって最善の治療法をお選びください。

床矯正の利点

床矯正の欠点

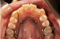
固定式の拡大装置(クワドヘリックス)

固定式の拡大装置(クワドヘリックス)
固定式拡大装置 上顎
固定式の拡大装置(クワドヘリックス)
固定式拡大装置 上顎

症例によっては取り外しができない拡大装置(クワドヘリックス)を使用することがございます。クワドヘリックスは太いワイヤーでできたバネのような装置の弾力でゆっくりと顎を押し広げて行きます。

表側矯正を併用する場合もございます。